Khartoum: Var sjätte patient är barn
16 procent av de patienter som har vårdats för krigsskador på Bashair Teaching Hospital i Khartoum, Sudan, hittills i år är under 15 år. Många av barnen hade skott-, spräng- och splitterskador. Samtidigt oroas läkarna av att allt fler barn och gravida som kommer till sjukhuset är akut undernärda.

Hittills i år har Läkare Utan Gränsers team, tillsammans med sjukhuspersonalen på Bashair Teaching Hospital, vårdat fler än 4 214 patienter för traumaskador orsakade av våld, som skott- och bombskador. Av dessa var 16 procent barn under 15 år. Sjukhuset är ett av de sista fungerande sjukhusen i södra Khartoum och tillhandahåller akut- och kirurgisk vård samt mödravård.
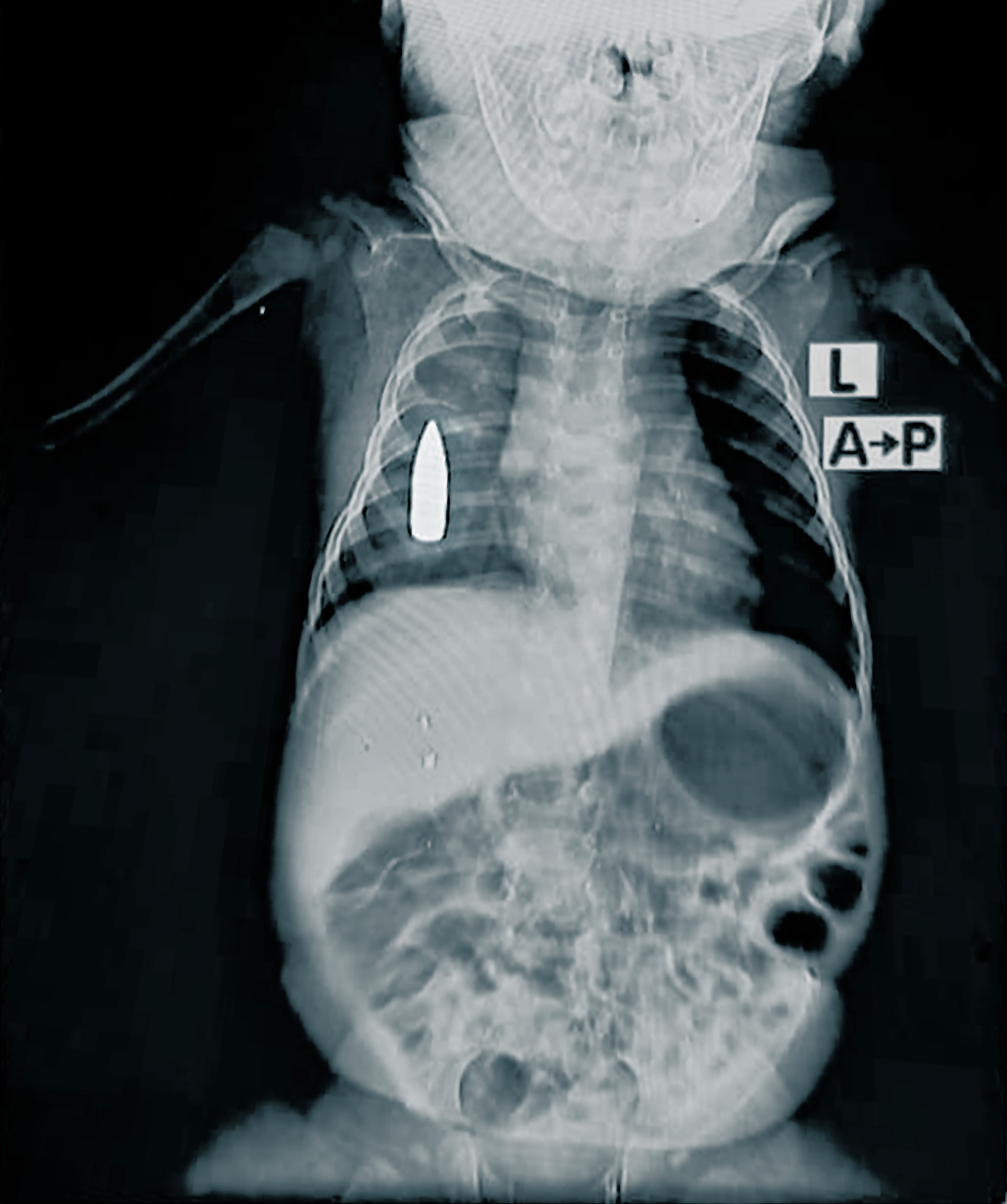
– Det 18 månader gamla pojken Riyad kom till akuten efter att han hade träffats av en förlupen kula när han sov hemma hos familjen, säger läkaren Moeen*, medicinskt ansvarig på Läkare Utan Gränser. Teamet kämpade i fyra timmar med att rädda livet på det lilla pojken. På grund av den stora blodförlusten hade han bara 50 procents chans att överleva operationen.
De lyckades stoppa blödningen men kulan sitter fortfarande kvar i bröstet. Det är oklart hur lång tid det tar innan kulan kan tas bort. Sjukhuset har inte avancerad kirurgisk kapacitet, delvis på grund av att transporter med kirurgisk utrustning systematisk har blockerats sedan oktober 2023. Att hänvisa patienter till ett annat sjukhus är också mycket svårt eftersom vägarna antingen är förstörda eller alldeles för farliga.
”Andra har inte samma tur”
Avsiktliga blockeringar av transporter med medicinsk utrustning och mediciner gör också att vissa ingrepp, som att behandla allvarliga brännskador, inte är möjligt. Detta är oroande eftersom det inte finns någon fullt fungerande brännskadeavdelning kvar i staden, samtidigt som allt fler civila skadas i explosioner.
I slutet av oktober kom fler än 30 krigsskadade patienter till Bashair Teaching Hospital på en dag efter en explosion på en marknad mindre än en kilometer bort. Tolv av de som fördes till akuten var barn under 15 år. Många hade brännskador och traumaskador. En flicka på snart två år hade splitter djupt inne i huvudet. När teamet försiktigt lade henne på röntgenbordet ramlade en del av det lilla huvudets ömtåliga skallben ner på bordet.
– Sådana fall är vanliga, säger läkaren Moeen*. Tack och lov överlevde den lilla flickan. Andra har inte samma tur.
Händelser där ett stort antal patienter anländer på kort tid, som denna, har blivit vanligare i takt med att striderna i staden har intensifierats, berättar Moeen*. De få sjukhus som fortfarande är i bruk är under enorm press och sjukvårdspersonalen kämpar med att ta hand om alla behov.
Ökning av akut undernäring
Samtidigt ser vi en ökning av akut undernärda barn och gravida som kommer till sjukhuset. Utan behandling kan akut undernäring vara livshotande. Av de 4 186 kvinnor och barn som screenades för undernäring mellan 19 oktober och 8 november 2024 var fler än 1 500 allvarligt akut undernärda och 400 var måttligt undernärda.
– Människor, inklusive barn, i Khartoum lever i en mardröm, säger Claire San Filippo, akutkoordinator på Läkare Utan Gränser. Alla parter i konflikten måste se till att civila skyddas och medicinsk utrustning måste tillåtas nå fram till alla sjukhus i Sudan.
*Namnet är anonymiserat för att skydda personen
Om Läkare Utan Gränser i Sudan
Läkare Utan Gränser arbetar i 11 av 18 delstater och ger kostnadsfri vård till de som behöver det mest. Sedan konfliktens början i april 2023 har mer än 500 000 människor sökt vård på de sjukhus, vårdinrättningar och mobila kliniker som Läkare Utan Gränser driver och stöttar i Sudan. Mellan januari och september 2024 vårdade Läkare Utan Gränsers team 6 557 krigsskadade.
Nyckelord
Kontakter
Presstelefon
Kontakta oss gärna på vår presstelefon, gäller även kvällar och helger (ej sms).
Bilder


Länkar
Läkare Utan Gränser är en internationell medicinsk humanitär organisation som ger sjukvård och stöd till människor oavsett etnicitet, reigion eller politiska åsikter. Om du vill komma i kontakt med vår utsända personal eller ämnesexperter så kontakta oss på kommunikationsavdelningen - så hjälper vi dig efter bästa förmåga.
Följ Läkare Utan Gränser
Abonnera på våra pressmeddelanden. Endast mejladress behövs och den används bara här. Du kan avanmäla dig när som helst.
Senaste pressmeddelandena från Läkare Utan Gränser
Forskning: Ungdomsklubbar minskar risk för avbruten hivbehandling28.11.2025 06:00:00 CET | Pressmeddelande
Hiv är den näst vanligaste dödsorsaken bland unga i Afrika söder om Sahara. Nu visar nya forskningresultat från Kongo-Kinshasa att ungdomsklubbar bidrar till att behandling upprätthålls och smittspridning minskar. Klubbarna gav även positiva effekter på den psykiska hälsan.
Lunchwebbinarium: Sjukvård och civila under attack i Sudan24.11.2025 11:27:40 CET | Pressinbjudan
Systematiska attacker mot civila i Sudan och mot sjukvårdens infrastruktur, personal och patienter sker om och om igen, och förövarna går ofta fria. Detta får förödande konsekvenser för civilbefolkningen och de ofta redan sköra sjukvårdssystemen.
Extrem undernäring i krigets Sudan13.11.2025 08:48:18 CET | Pressmeddelande
Fler än 70 procent av de barn under fem år som har flytt från al-Fashir till Tawila är akut undernärda. Läkare Utan Gränser fruktar också att många människor i och runt al-Fashir inte kan ta sig därifrån. Nu varnar organisationen för undernäringskrisen i Sudan och kräver ökad finansiering och omedelbart humanitärt tillträde.
Darfur: Läkare Utan Gränser fördömer massakrer i al-Fashir31.10.2025 23:36:16 CET | Pressmeddelande
Vittnesmål från flyktingar beskriver massakrer, tortyr, kidnappningar, sexuellt våld och summariska avrättningar i al-Fashir och längs flyktvägarna. Läkare Utan Gränser varnar för att ett stort antal människor befinner sig i livsfara och hindras att fly av Rapid Support Forces, som kontrollerar staden.
Vapenvila stoppar inte lidandet i Gaza24.10.2025 10:53:38 CEST | Pressmeddelande
Trots vapenvilan i Gaza lever människor fortfarande under extremt farliga förhållanden där bristen på rent vatten, sanitet, mat och skydd utgör en fara för deras hälsa. Läkare Utan Gränser varnar nu för att situationen är ohållbar – och att det leder till att människor dör helt i onödan.
I vårt pressrum kan du läsa de senaste pressmeddelandena, få tillgång till pressmaterial och hitta kontaktinformation.
Besök vårt pressrum