Strålbehandling med rektalstav skonsamt alternativ vid prostatacancer

– Precis som vid annan strålterapi är målet med stavbehandling att döda cancercellerna. Vi behandlar 25-30 patienter per år med denna metod. Fördelen är att man kan öka avståndet mellan prostata och ändtarmen och därigenom ge högre stråldos i prostata och lägre i ändtarmen så att frisk vävnad skonas. Jämfört med konventionell strålbehandling utan rektalstav, som är vanligast idag, kan man ge lite högre stråldos utan fler biverkningar, säger Kristina Nilsson, överläkare i onkologi vid Akademiska sjukhuset.
Sedan starten 2005 har cirka 700 män fått stavbehandling på Akademiska, cirka 500 har strålats med protoner och 200 med fotoner. Enligt en utvärdering av strålning med protoner med eller utan stav finns inga skillnader när det gäller komplikationer. Just nu pågår en studie på 200 patienter som genomgått strålning med fotoner vid Akademiska. 2017 planerar man starta en ny, större studie där man jämför stavmetoden med annan strålterapi.
– Målgruppen för strålbehandling med rektalstav är framförallt män med prostatacancer av högrisktyp som bedöms gynnas av lokal strålning och patienter med intermediärisktyp som av olika skäl inte kan behandlas med brachyterapi. Dessa skäl kan till exempel vara om prostatan är för stor (svårt att komma åt), om patienten inte kan sövas på grund av andra bakomliggande sjukdomar eller om patienten behandlas med blodförtunnande medel, förklarar Kristina Nilsson.
Strålning är ett vanligt sätt att behandla prostatacancer, både när cancern är kvar i prostatan och när den spridit sig till andra delar av kroppen. Vid tidig sjukdom, när tumören inte spridit sig utanför prostatakörteln, är strålning ett likvärdigt alternativ till kirurgi som botande behandling. Forskning har visat att ju högre stråldoser man kan ge tumören, desto större är chansen till bot. De doser som fortfarande användes för något decennium sedan var ofta inte tillräckligt höga för att bota patienten. Det finns nu en stark strävan att utveckla metoder som gör att man kan öka stråldosen utan att förvärra biverkningarna.
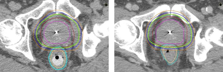
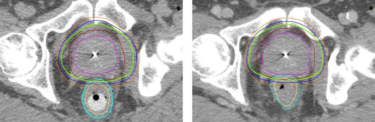
En utmaning vid prostatacancer är precisionen eftersom prostatakörteln är rörlig, men strålningstekniken har successivt blivit allt mer träffsäker. Man skiljer på yttre strålning (strålkällan är utanför patientens kropp) som t ex strålbehandling med rektalstav, eller olika typer av intern strålbehandling, så kallad brachyterapi.
Inom strålbehandlingen på Akademiska bedömer experterna att de goda resultaten med stavbehandling delvis beror på att rektalstaven bidrar till att fixera prostata under behandlingen.
– I dag erbjuds strålbehandling vid 16 kliniker i Sverige (protonterapi vid Skandionkliniken inräknad). Vi är fortfarande ensamma i landet om stavbehandling vilket är förvånande eftersom metoden är tekniskt enkel. Den ges också på ett sjukhus i Finland och glädjande nog har vi nyligen fått information om positiva resultat vid användning rektalstaven även i Australien. Vår bedömning är att fler svenska patienter skulle kunna dra nytta av den, särskilt de som idag får vård på strålbehandlingsklinker som inte erbjuder brachyterapi, avrundar sjukhusfysiker Ulf Isacsson.
Mer information:
Kristina Nilsson, överläkare i onkologi, telefon: 018-611 56 16 eller 0738-665370
Ulf Isacsson, 1:e sjukhusfysiker inom strålterapin, telefon: 018-611 29 22 eller 0761-132708
FAKTA: Strålterapi med rektalstav vid prostatacancer
* En metod för strålbehandling som har utvecklats på Akademiska sjukhuset.
* Den första patienten behandlades 2005. Sedan dess har cirka 700 fått strålbehandling med rektalstav, initialt med protoner, numera med fotoner.
* Rektalstaven förs in i ändtarmen som trycks nedåt och separeras från prostatan. På så sätt kan stråldosen minskas till ändtarmen.
* Normalt ges strålningen med stav vid fyra tillfällen. Därutöver får patienterna annan strålning med lägre dos vid 25 tillfällen. Om tumören är av högrisktyp ges även hormonbehandling som komplement för att minska risken för spridning.
Nyckelord
Kontakter
Elisabeth TyskPresschef - Ansvarig för medierelaterade frågor på kommunikationsavdelningen
Akademiska sjukhuset har inte pressjour utanför kontorstid. Vid förfrågningar kvällar och helger, till exempel gällande presskommuniké vid olycksfall, kan chefsläkarjouren kontaktas via växeln 018-611 00 00.
Bilder


Om
Akademiska sjukhuset erbjuder specialiserad och högspecialiserad vård lokalt, regionalt, nationellt och internationellt.
Sjukhuset har cirka 8 400 medarbetare, varav 1 500 läkare och 2 750 sjuksköterskor/barnmorskor.
Sjukhuset har 850 vårdplatser. Här görs varje år cirka 722 000 öppenvårdsbesök, 45 300 slutenvårdstillfällen och 32 200 operationer.
Följ Akademiska sjukhuset
Abonnera på våra pressmeddelanden. Endast mejladress behövs och den används bara här. Du kan avanmäla dig när som helst.
Senaste pressmeddelandena från Akademiska sjukhuset
Sjukhusvård i hemmet - nytt alternativ för patienter inom infektion och kirurgi16.12.2025 09:00:00 CET | Pressmeddelande
En ny avdelning har öppnats på Akademiska sjukhuset - Akademiska hemma – som till en början ska erbjuda sjukhusvård i hemmet för patienter inom infektion och kirurgi. Genom att använda modern teknik och medicinska resurser kan patienter, som normalt sett skulle vara inlagda på sjukhuset, i stället få motsvarande vård i hemmet. Satsningen är ett led i arbetet med Effektiv och nära vård; att vården ska flyttas närmare patienterna.
Hälsoriskbedömning klar: Falubors exponering för metaller har undersökts10.12.2025 16:00:00 CET | Pressmeddelande
Faluns tusenåriga historia av gruvdrift har satt omfattande spår i landskapet. Metaller som spridits från gruvdriften finns i dag i marken och kan påverka både miljö och hälsa. Under 2023 startade därför en omfattande undersökning av den förorenade marken i Falun. De preliminära resultaten visar bland annat att en liten mängd nedsvald jord i de mest förorenade områdena kan innebära risk för akut förgiftning.
Uppdaterad: Misstänkt för förgiftningarna häktad för grov misshandel8.12.2025 12:04:54 CET | Pressmeddelande
En person som är anställd vid Akademiska sjukhuset greps och anhölls under helgen. Måndagen den 8 december häktade domstolen på åklagarens begäran personen, skäligen misstänkt för grov misshandel genom förgiftning av fyra personer på Akademiska barnsjukhuset.
En person anhållen misstänkt för förgiftningarna6.12.2025 14:26:13 CET | Pressmeddelande
I början av november inledde polisen en förundersökning om försök till mord med misstanke om förgiftning. Detta efter att fyra medarbetare på samma avdelning på Akademiska barnsjukhuset insjuknat med liknande symtom under arbetstid. Idag har åklagare meddelat att man har gripit och anhållit en misstänkt person.
Nutrition vid kronisk njursjukdom – fokus för internationellt symposium i Uppsala28.11.2025 08:00:00 CET | Pressmeddelande
På Akademiska sjukhuset läggs allt större vikt vid individuellt anpassad nutrition för patienter med kronisk njursjukdom. Detta sker bäst i ett multidisciplinärt samarbete mellan dietister, sjuksköterskor, läkare och forskare. Detta lyfts fram under ett internationellt symposium i Uppsala 30 november-1 december.
I vårt pressrum kan du läsa de senaste pressmeddelandena, få tillgång till pressmaterial och hitta kontaktinformation.
Besök vårt pressrum
